Physical Therapy in Colorado Springs, CO

7621 Austin Bluffs Pkwy, Suite 200 Colorado Springs, 80920 Colorado
Get direction

719-596-5000

  • Home
  • Services
    services
    • index
      Trigger Point Dry Needling Trigger point dry needling (TPDN) is a treatment for muscular tightness and “spasm”, or "knots".
    • index
      Manual Therapy Cornerstone Physical Therapy sets itself apart by being a completely hands-on clinic.
    • index
      Headaches Pain in the head, frequently called “Migraines”, can occur from many sources.
    • index
      TMJ/TMD Temporomandibular Joint (TMJ) Disorders or TMD means that you have a problem with the hinge joints of the jaw.
  • Billing and Insurance
  • Contact Us
  • Team
  • Patient Portal
    0-default
    • index
      New Patient Paperwork
    • index
      Stories
    • index
      News
    • index
      Cōr Connect
  • Headache Center
  • Cornerstone Coffee

Sinus pain, infection or pain referral?

Cone beam CT is a much lower radiation 3D imaging technology that gives us a very clear picture of our sinuses as well as the cervical spine, temporomandibular joints, teeth, airway and bone. 

 

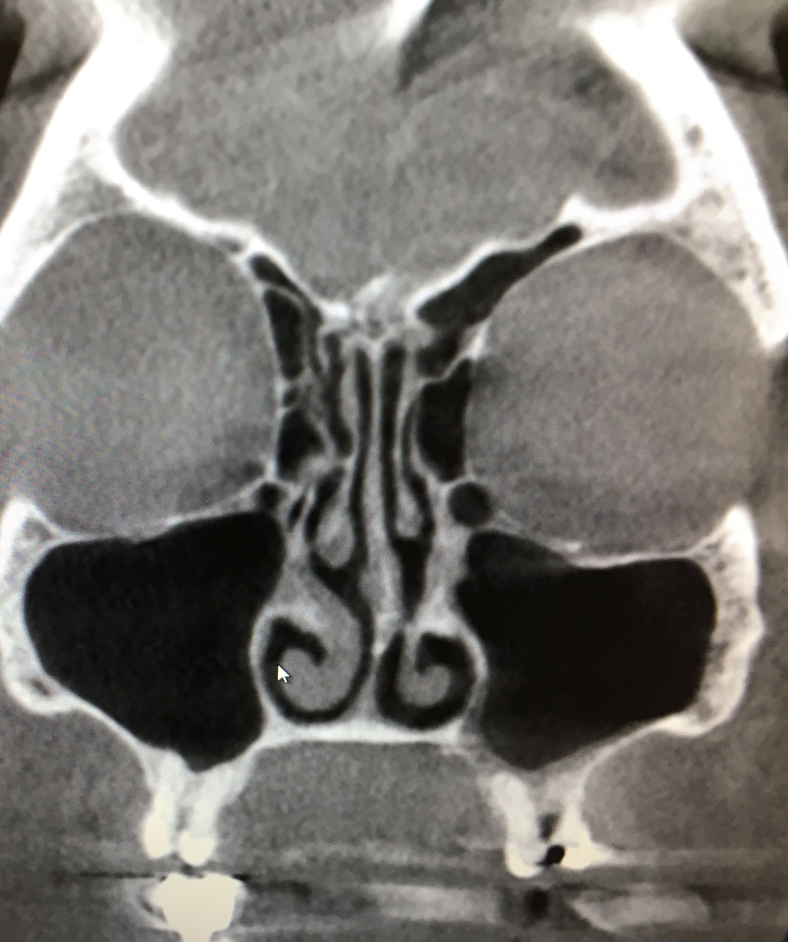
These are two patients with identical symptoms, sinus and facial pressure that persisted and did not change with medication. Check out this video.

Image
Image

normal sinus versus filled left maxillary sinus

 

The take away from these two similar cases is that imaging was very helpful in establishing our diagnosis. One had no presence of sinus disease or infection but sinus pressure while the other had obvious signs of infection of multiple sinuses and was referred back to his ENT for a surgical consult. The underlying cause of the sinus pain without signs of sinus infection was determined to be the neck. Treatment to the neck resolved the patient’s symptoms.

 

If sinus pain is not responding to medical interventions and if the Cone Beam CT is negative check the neck. There are usually other signs present that the neck is not working optimally and the underlying cause.

 

Symptoms to look for…

 

Self manipulation of the neck

Stretching and changing head position throughout the day

Neck stiffness and tension

Headaches that get worse throughout the day or upon waking

Trying more than two pillows in the last month

 

For more on Cone Beam CT check out this video.

How do you know you have a sinus infection? What if your pain and pressure continues even after antibiotics? A Cone Beam CT will show if you have a sinus infection or disease. If it shows that your sinuses are clear then your symptoms are being referred from your neck.

colorado #dryneedlingpregnancy #cornerstonept #shoulderpain migraine headache The Headache Center headache treatment Colorado Springs Ocular Migraine vertigo BPPV dizziness Sleeping The right pillow Neck pain Manipulation chiropractic neck traction How to help headache pain Relax The Back Zero Gravity Chair Ear Pressure Ear Pain Left Epley Maneuver Posture dry needling dry needling treatment Low Testosterone Symptoms of low testosterone testosterone and pain Apollo Medical Associates hormones and pain cause of ear pain ENT and ear pain knee pain knee pain relief treatment of knee pain Core Strength Core Voice Cornerstone Physical Therapy Sinus BETTER shoulder Gyrostim, vertigo, Colorado Springs Cornerstone
Cornerstone Physical Therapy
Tweets by corner_stonept

footer-bg-flip

Sitemap

  • Home
  • Services
    • Trigger Point Dry Needling
    • Manual Therapy
    • Headaches
    • TMJ/TMD
  • Billing and Insurance
  • Contact Us
  • Team
  • Patient Portal
    • New Patient Paperwork
    • Stories
    • News
    • Cōr Connect
  • Headache Center
  • Cornerstone Coffee

Address

7621 Austin Bluffs Pkwy, Suite 200 Colorado Springs, 80920 Colorado

Phone

719-596-5000

Fax

 
719-596-0890
 
 
 
 
 
 
 

Social networks

Facebook Twitter Pinterest Youtube Instagram

Contact form

Contact Us

Copyright © 2019 Cornerstone Physical Therapy
Cornerstone Careers

  • Home
  • Services
    services
    • index
      Trigger Point Dry Needling Trigger point dry needling (TPDN) is a treatment for muscular tightness and “spasm”, or "knots".
    • index
      Manual Therapy Cornerstone Physical Therapy sets itself apart by being a completely hands-on clinic.
    • index
      Headaches Pain in the head, frequently called “Migraines”, can occur from many sources.
    • index
      TMJ/TMD Temporomandibular Joint (TMJ) Disorders or TMD means that you have a problem with the hinge joints of the jaw.
  • Billing and Insurance
  • Contact Us
  • Team
  • Patient Portal
    0-default
    • index
      New Patient Paperwork
    • index
      Stories
    • index
      News
    • index
      Cōr Connect
  • Headache Center
  • Cornerstone Coffee
Notifier website logo

Do you want to get notifications from this site?